矯正歯科(歯列矯正) 東京都府中市晴見町の矯正歯科(歯列矯正)
矯正歯科(歯列矯正)【北府中歯科クリニック】トップページへ
東京都府中市晴見町の矯正歯科(歯列矯正)【北府中歯科クリニック】へのお問い合わせ先 Tel 042 - 330 - 1182
矯正歯科(歯列矯正)【北府中歯科クリニック】トップページへ
矯正歯科(歯列矯正)について
矯正歯科(歯列矯正)症例写真
上顎前突(別名:出っ歯)
ジョウガクゼントツ その1
上顎前突(別名:出っ歯)
ジョウガクゼントツ その2

叢生 (別名:乱ぐい歯。
八重歯も含む)
ソウセイ その1

叢生(別名:乱ぐい歯。
八重歯も含む)
ソウセイ その2

深すぎる噛み合わせ

反対咬合(別名:受け口)
ハンタイコウゴウ
 
矯正歯科(歯列矯正)の疑問点
矯正歯科(歯列矯正)【北府中歯科クリニック】クリニック紹介
矯正歯科(歯列矯正)【北府中歯科クリニック】リンク集
矯正歯科(歯列矯正)【北府中歯科クリニック】サイトマップ
 
矯正症例写真
叢生 ソウセイ (別名:乱ぐい歯。八重歯も含む) 症例その1

叢生(別名:乱ぐい歯、八重歯) 矯正治療前

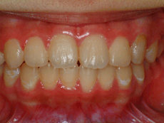
叢生(乱ぐい歯) 矯正治療前 正面
矯正治療前 正面
叢生(乱ぐい歯) 矯正治療前 右から
叢生(乱ぐい歯) 矯正治療前 左から
矯正治療前 右から
矯正治療前 左から
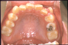
叢生(乱ぐい歯) 矯正治療前 上顎
叢生(乱ぐい歯) 矯正治療前 下顎
矯正治療前 上顎
矯正治療前 下顎
 

叢生(別名:乱ぐい歯、八重歯) 矯正治療後

叢生(乱ぐい歯) 矯正治療後 正面
矯正治療後 正面
叢生(乱ぐい歯) 矯正治療後 右から
叢生(乱ぐい歯) 矯正治療後 左から
矯正治療後 右から
矯正治療後 左から
叢生(乱ぐい歯) 矯正治療後 上顎
叢生(乱ぐい歯) 矯正治療後 下顎
矯正治療後 上顎
矯正治療後 下顎



東京都府中市晴見町の矯正歯科(歯列矯正)

【北府中歯科クリニック】

〒183-0057東京都府中市晴見町1-15-6
ご予約・ご相談 042 - 330 - 1182

<診療科目>
矯正歯科(歯列矯正)・一般歯科・小児歯科・インプラント・顎関節症・審美歯科・歯周病
 

Copyright(c)2007-2008,kitafuchu.All rights reserved.  supported by A-SITE